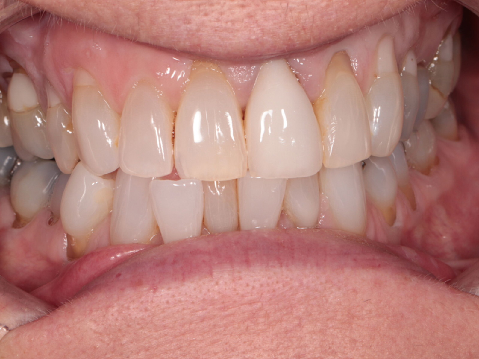
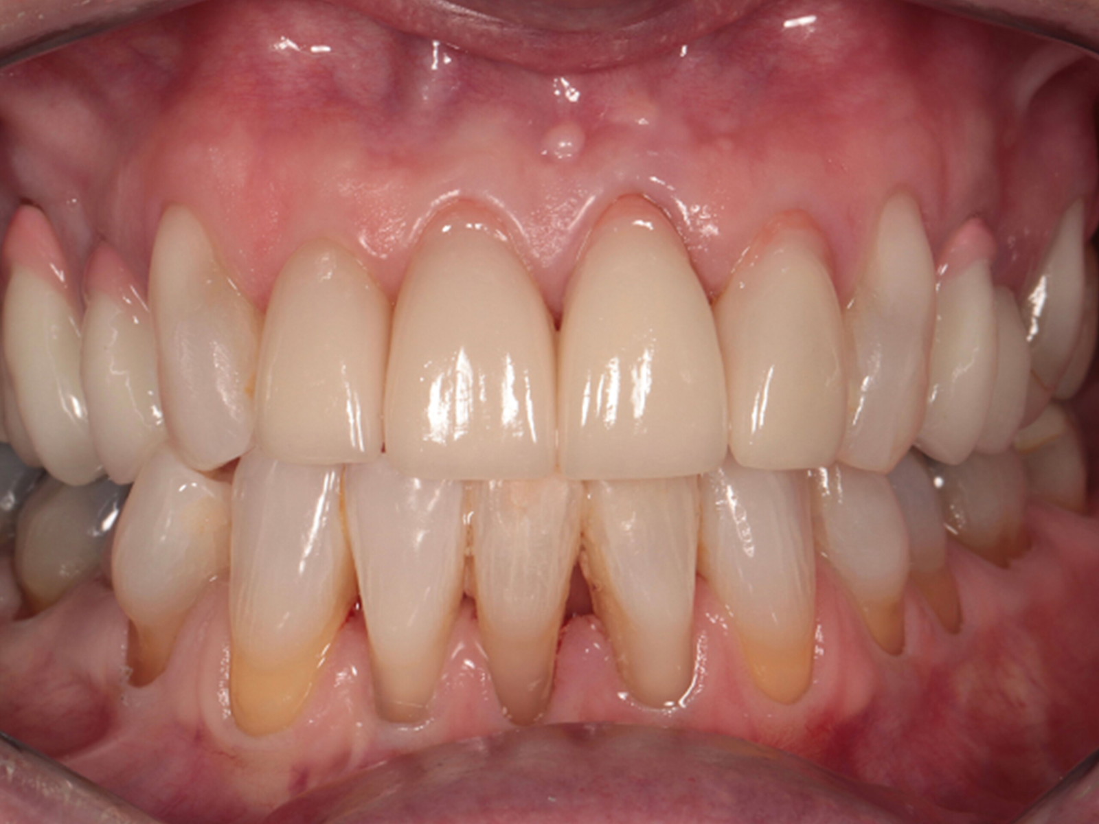
En dentisterie restauratrice moderne, atteindre une esthétique optimale tout en préservant au maximum la structure dentaire naturelle est un objectif clé.
Cependant, les restaurations sont souvent traitées de manière isolée, sans prendre en compte leur cause sous-jacente.
Par exemple, une dent fracturée est souvent restaurée avec du composite, sans traitement de la malocclusion à l’origine du problème.
C’est là que l’alignement pré-restaurateur joue un rôle essentiel.
En corrigeant la position des dents avant le traitement restaurateur, les praticiens peuvent créer une base plus favorable pour des restaurations minimalement invasives, une meilleure esthétique et une stabilité à long terme.






