La technique contre la perte de substance dentaire

La technique d'injection de composite Forma® (F.I.T.) est une solution unique pour reconstituer d'une manière rapide, facile, prévisible et efficace la perte de substance dentaire.
Dans cette technique sans autre préparation que le mordançage, un composite hybride fluide, à base de résine micro chargée, est apposé par injection pour réaliser une réhabilitation parfaite et totale.
La composition de ces nouveaux matériaux a récemment connu un développement spectaculaire, ce qui a permis d'optimiser les propriétés esthétiques et physiques.
Aujourd'hui, grâce aux nanotechnologies, les propriétés mécaniques de cette forme fluide, équivalent celles des composites en forme pâteuse. Ils sont résistants à l'usure, présentent un faible retrait et assurent une bonne restitution de la brillance.
En d'autres termes, ces composites peuvent être utilisés comme restauration durable.
Dans un objectif d’économie tissulaire, cette approche minimalement invasive vise à préserver la structure résiduelle des dents, tout en reconstituant l'apparence naturelle et les exigences fonctionnelles pour des résultats durables.
Avec notre kit F.I.T., vous bénéficiez de la commodité d'un coffret, contenant tous les outils et produits essentiels nécessaires à ce protocole. Ce qui est la vocation de notre philosophie en tant que fournisseur de solutions dédiées.
Grâce à la technique d’injection des composites F.I.T., comme aucune préparation mécanique n'est nécessaire, le traitement est rapide. Le flux de travail numérique préparatoire rationalise le processus, ce qui en fait une restauration incroyablement simple à réaliser.
Les options de traitement actuellement proposées incluent des solutions prothétiques indirectes et une large sélection de matériaux disponibles. Ce scénario nécessite une préparation des dents et n'est pas toujours réalisable pour chaque patient.
Chez Labocast, nous aspirons à proposer les bonnes solutions et présentons désormais une option de traitement alternative : la technique d'injection de composite Forma® (F.I.T.).
Le principal avantage de cette technique est que les restaurations sont d'abord conçues à l'aide de l'outil numérique de diagnostic de Labocast, puis copiées et transférées avec précision sur les dents naturelles.
Pour les morphologies complexes, les cas esthétiques exigeants ou les cas nécessitant le rétablissement de la dimension verticale d’occlusion, un résultat prévisible peut être obtenu et le temps au fauteuil réduit grâce à ce protocole relativement simple.
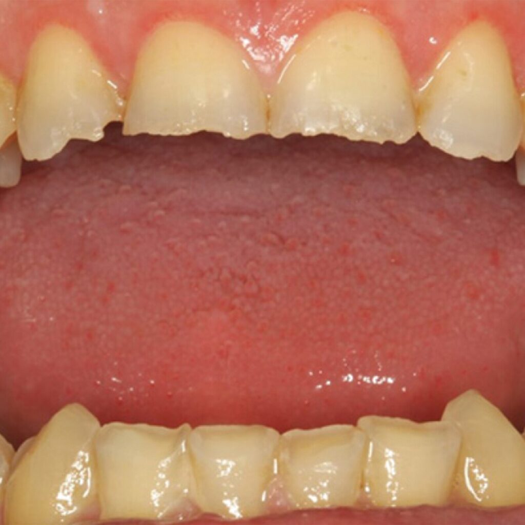
Présentation du cas d’un patient et de la planification Labocast. La situation initiale de ce patient montrait des usures et des érosions, ce qui le rendait éligible à la technique d'injection Forma® (F.I.T.). Cela demande des empreintes conventionnelles ou des scans intraoraux des deux arcades avec l’enregistrement de l'occlusion, des photos du patient, une teinte et une définition de l’objectif souhaité. Ces documents seront utilisés pour créer un projet numérique soumis à votre évaluation.
Essai du projet avec un moule en silicone et de la résine pour dents provisoires. Au cours de la deuxième phase, une maquette optionnelle du TEMPSMART DC est fournie pour évaluation et corrections si nécessaire.
Injection et finition des matériaux composites. Labocast vous fournira un kit complet contenant tout ce qui est nécessaire pour réaliser le protocole d'injection de composite (F.I.T.). Cela comprend le volume nécessaire de composite injectable universel G-ænial, dans la teinte souhaitée, et les différents abrasifs de polissage. La phase d'injection est une procédure par étapes séquentielles au travers de moules transparents. Après polymérisation, chaque dent est finie et polie pour garantir la conservation de la brillance dans le temps.
Nous organisons régulièrement des cours pratiques en ligne et des webinaires d'introduction. Pendant le cours pratique, le traitement de l'usure dentaire est abordé étape par étape dans la démo.
L'importance d'un traitement Trioclear™ avant les restaurations dentaires
Dans le domaine de la dentisterie esthétique, l'obtention d'un sourire éclatant passe souvent par plusieurs étapes. Une approche de plus en plus populaire est la technique ABC (Align, Bleach and Composite).
Qu'est-ce que la technique ABC ? C’est une solution rapide et économique pour les patients qui souhaitent aligner et éclaircir leurs dents.
Il s'agit d'abord de procéder à l'alignement, puis d’appliquer les produits de blanchiment jusqu'à ce que le patient obtienne la teinte souhaitée, et enfin de finaliser avec la technique d'injection de composites Forma® (F.I.T.).
Notre solution F.I.T. s'aligne sur notre philosophie d'invasivité minimale et constitue un excellent choix de restauration lorsqu'elle est combinée avec notre système d'alignement pré-restauratif trioclear™.
Nous offrons un accompagnement complet du début à la fin. Avec notre kit F.I.T., vous bénéficiez de la facilité d'un interlocuteur unique.
En tant que fournisseur de solutions dédiées, nous vous proposons un ensemble complet comprenant tous les outils et produits essentiels à cette méthode.
En outre, vous pouvez participer à nos webinaires pour commencer le traitement en toute confiance. Grâce à un flux de travail numérique parfaitement intégré, il est facile de mettre en œuvre cette méthode.
Si vous êtes toujours à la recherche d'un scanner intraoral, consultez notre vaste gamme de produits, il y en a forcément un mieux adapté aux besoins spécifiques de votre cabinet.
Bastien Deloge Expert en flux numérique et en prothèse, se fera un plaisir de répondre à toutes vos questions. Pour rentrer en contact avec lui, cliquez tout simplement sur les boutons « Demandez à être rappelé(e) » ou « contactez-nous » ci-dessous.