
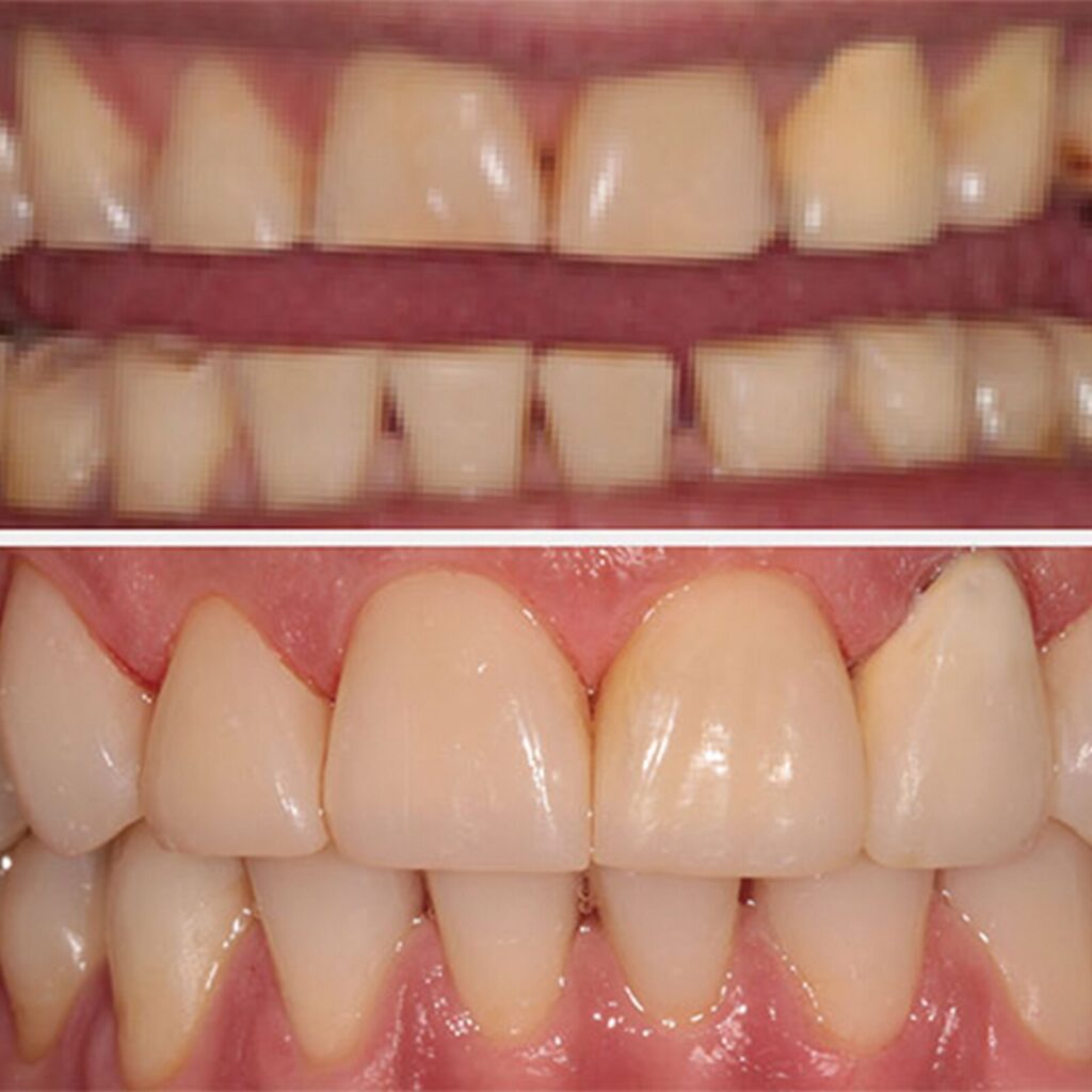
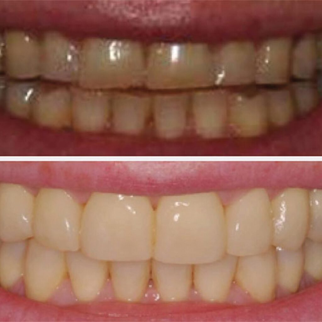
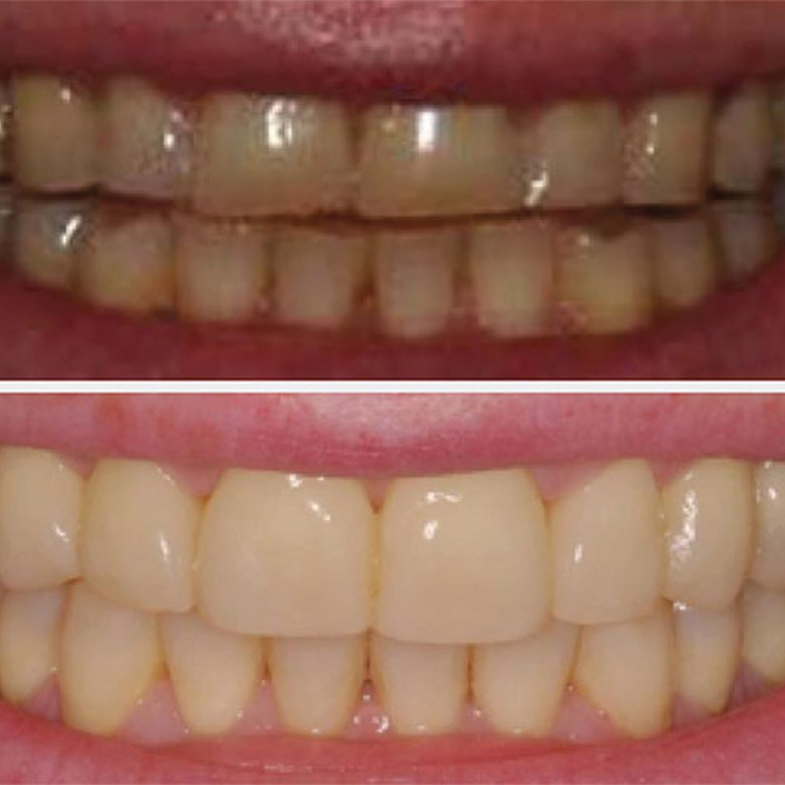
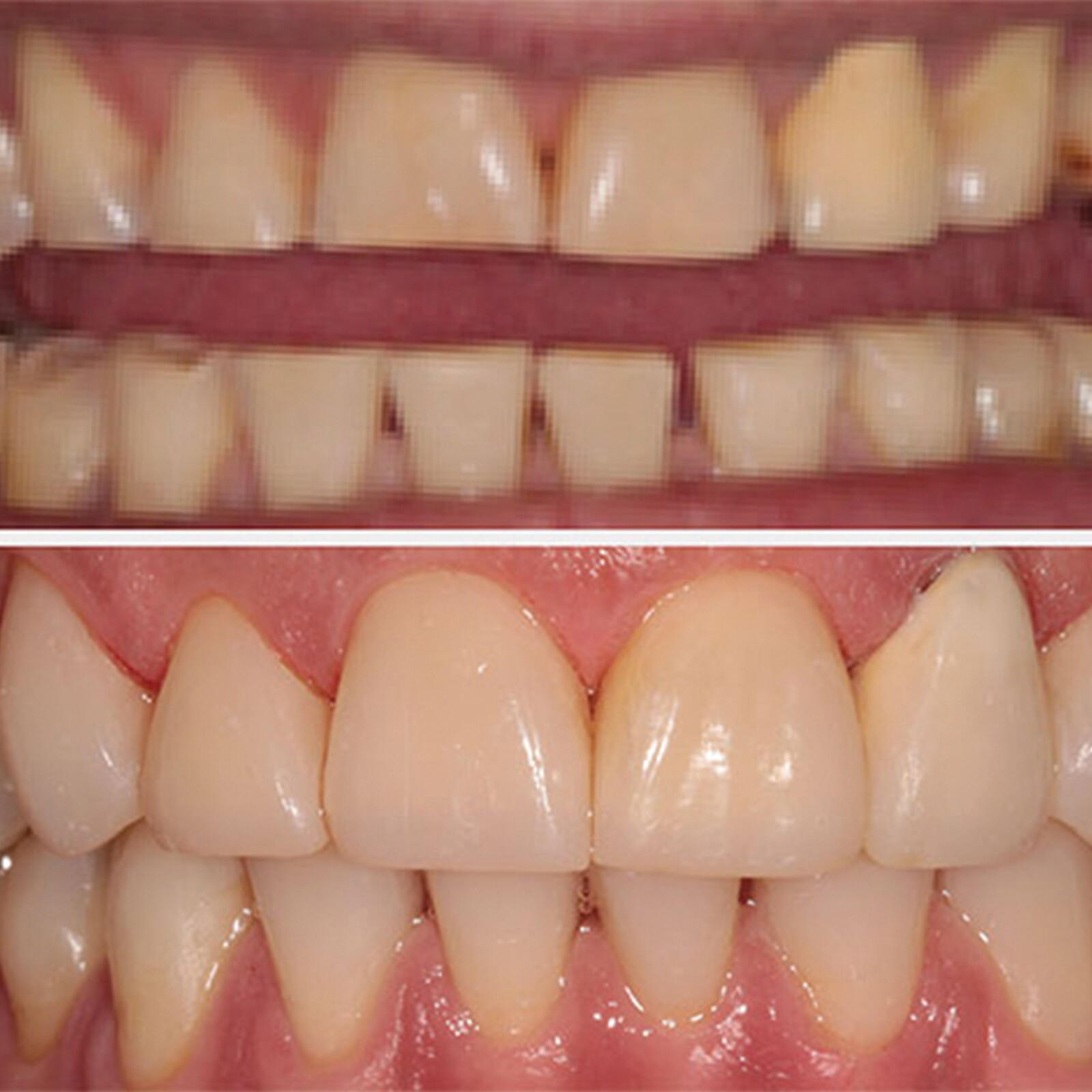
Nous sommes heureux de vous présenter F.I.T. VENEER, le dernier né de notre technique à succès Forma® Injection Technique (FIT)
S’appuyant sur la formidable réussite de F.I.T. WEAR, F.I.T. VENEER offre une solution révolutionnaire pour les applications de facettes grâce à sa technique d’injection stratifiée innovante. Cette méthode simplifie le processus, le rendant plus rapide, plus facile et plus rentable.
F.I.T. VENEER est conçue comme une solution directe de facettes, simple, rapide, économique et efficace, offrant une approche tout-en-un pour les applications de facettes dentaires.
Ce nouveau concept permet des injections en plusieurs couches, reproduisant fidèlement la structure naturelle des dents.
Pour vous aider à maîtriser le concept et le workflow F.I.T. VENEER, nous proposons des NOUVEAUX webinaires et cours pratiques.
Ces sessions présenteront la technique d’injection à deux couches en détail, démontrant comment reproduire la structure dentaire naturelle avec des couches de dentine et d’email pour de meilleurs résultats esthétiques dans la région antérieure.
Bastien Deloge Expert en flux numérique et en prothèse, se fera un plaisir de répondre à toutes vos questions. Pour rentrer en contact avec lui, cliquez tout simplement sur les bouton « Demandez à être rappelé(e) » ou « contactez nous » ci-dessous.